İmplant Nedir?

Dental implantlar, diş eksikliğinde yapılan, modern ve etkili bir tedavi yöntemidir. Gülümsemenizi geri getirmek için mükemmel bir uzun vadeli seçenektir. Aslında, implantların geliştirilmesi ve kullanımı son 40 yıldaki dişhekimliği alanındaki en büyük ilerlemelerden biridir. Dental implantlar titanyumdan oluşur. Bunlar cerrahi olarak üst veya alt çene diş kavsine yerleştirilmiş vidalardır ve burada yerine konacak dişler için sağlam bir kök görevi görürler.

İmplant Nedir?

Dental implantlar, diş eksikliğinde yapılan, modern ve etkili bir tedavi yöntemidir. Gülümsemenizi geri getirmek için mükemmel bir uzun vadeli seçenektir. Aslında, implantların geliştirilmesi ve kullanımı son 40 yıldaki dişhekimliği alanındaki en büyük ilerlemelerden biridir. Dental implantlar titanyumdan oluşur. Bunlar cerrahi olarak üst veya alt çene diş kavsine yerleştirilmiş vidalardır ve burada yerine konacak dişler için sağlam bir kök görevi görürler.

BİR GÜNDE İMPLANT TEDAVISI

Kliniğimize geldiğiniz anda opersayonun yapılıp koltuktan yeni dişleriniz ile aynı gün klinikten ayrılmanız demektir.
Acelesi olan ve zamanı kısıtlı hastalarımız için ideal bir tedavi şeklidir. Bir günde implant ile …

BİR GÜNDE İMPLANT TEDAVISI

Kliniğimize geldiğiniz anda opersayonun yapılıp koltuktan yeni dişleriniz ile aynı gün klinikten ayrılmanız demektir.
Acelesi olan ve zamanı kısıtlı hastalarımız için ideal bir tedavi şeklidir. Bir günde implant ile …

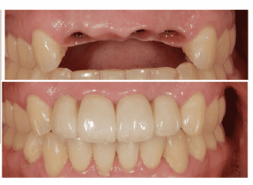
Tek dİş İmplant

Tek diş eksikliğinde komşu dişlere zarar vermeden sadece eksik olan dişin yerine yapay implant destekli bir diş yapılması durumudur. Böyle bir tedavi yaklaşımı diğer dişleri kesilip küçültülerek köprü adı verilen protezlerin yapılmasının yerine kullanılan ve dişleri kurtaran modern bir tedavi şeklidir. Tek diş …

Tek dİş İmplant

Tek diş eksikliğinde komşu dişlere zarar vermeden sadece eksik olan dişin yerine yapay implant destekli bir diş yapılması durumudur. Böyle bir tedavi yaklaşımı diğer dişleri kesilip küçültülerek köprü adı verilen protezlerin yapılmasının yerine kullanılan ve dişleri kurtaran modern bir tedavi şeklidir. Tek diş …

Tüm ağız implant

Bir çenedeki dişlerin tamamının kaybedilmesi sonucu hiç diş bulunmaması sonrasında yapılabilen ve tüm ağızın sabit veya implant bağlantılı tak-çıkarlı protezlerle tedavi edilmesi durumudur. Yapılacak tedavi ağızın yapısına …

Tüm ağız implant

Bir çenedeki dişlerin tamamının kaybedilmesi sonucu hiç diş bulunmaması sonrasında yapılabilen ve tüm ağızın sabit veya implant bağlantılı tak-çıkarlı protezlerle tedavi edilmesi durumudur. Yapılacak tedavi ağızın yapısına …

İMPLANT VE DOĞAL DİŞ BİR ARADA

Sağlıklı doğal dişlerle beraber implantların birden çok diş eksikliğini gidermesi için birleştirilerek köprü şeklinde protez yapılarının oluşturulması sonucu kullanılan bir tedavi şeklidir. Literatürde hala implant-diş bağlı köprülerin ne derece sağlıklı olduğu tartışılmaktadır. Bizim şahsi fikrimiz ise …

İMPLANT VE DOĞAL DİŞ BİR ARADA

Sağlıklı doğal dişlerle beraber implantların birden çok diş eksikliğini gidermesi için birleştirilerek köprü şeklinde protez yapılarının oluşturulması sonucu kullanılan bir tedavi şeklidir. Literatürde hala implant-diş bağlı köprülerin ne derece sağlıklı olduğu tartışılmaktadır. Bizim şahsi fikrimiz ise …

Hakkımızda

Kliniğimiz Bakırköy Sadi Konuk Eğitim ve Araştırma Hastanesi’nin Acilinin hemen karşısında bulunmakta olup, Bahçelievler Metro yada Metrobüs istasyonuna sadece 7dk (500 metre) yürüme mesafesindedir.Atatürk Havalimanı’na 4 ,Otogara 6 metro durağı uzaklıktadır.

Site içeriğinde kullanılan bilgiler bilgilendirme amaçlıdır. Bu bilgilendirme kesinlikle tanı veya tedavi amacıyla kullanılamaz. © 2018 3ADent . Tüm hakları saklıdır | Design by Mr.B
WhatsApp chat